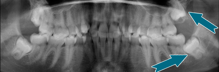
Tandudtrækning
Normalt fjerner vi 4-8 tænder ved samme indgreb.

De fleste får opereret eller trukket visdomstænderne ud.
Det siger patienterne
Pjecer og gode råd
Patientforløb ved behandling af kæbestillingsafvigelse
Se en oversigt over behandlingsforløbet og find informationer, der er relevante for dig, som skal behandles for kæbestillingsafvigelse.
Kontakt
Du skal kontakte os, hvis der opstår kraftig blødning, smerter eller tegn på infektion.
På hverdage fra 8.00 – 15.00 skal du kontakte Kæbekirurgisk Ambulatorium, Aalborg på tlf. 97 66 27 95 .
Uden for ambulatoriets åbningstid kan du kontakte den vagthavende tandlæge via Lægevagten i Region Nordjylland. Ring altid først - 70 150 300.
På hverdage fra 8.00 – 15.00 skal du kontakte Kæbekirurgisk Ambulatorium, Aalborg på tlf. 97 66 27 95 .
Uden for ambulatoriets åbningstid kan du kontakte den vagthavende tandlæge via Lægevagten i Region Nordjylland. Ring altid først - 70 150 300.
Opdateret

