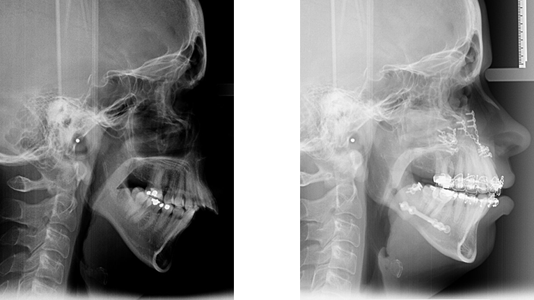
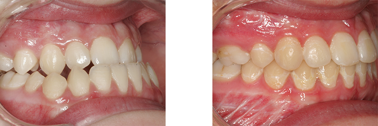
Før- og efterbilleder af patienter
Person med overbid og vigende hage



Person med underbid

Person med skævbid og underbid





Patientforløb ved behandling af kæbestillingsafvigelse
Se en oversigt over behandlingsforløbet og find informationer, der er relevante for dig, som skal behandles for kæbestillingsafvigelse.
Opdateret