Du bliver indkaldt til konferencen via e-boks.
Du må gerne tage en pårørende med til konferencen. Det kan være en fordel, at I er 2 om at lytte og stille spørgsmål.
Sådan foregår konferencen
På dagen for konferencen skal du møde i Kæbekirurgisk Ambulatorium, Aalborg. Når du ankommer, skal du skanne dit gule sundhedskort ved skærmen, så vi ved, du er kommet.
Du bliver modtaget af en sygeplejerske, som fortæller dig, hvad der skal ske ved konferencen.
Til konferencen møder du en kirurgisk specialtandlæge fra Kæbekirurgisk Afdeling, muligvis en uddannelsestandlæge og en bøjletandlæge. De fremlægger den foreløbige behandlingsplan, som de forinden har udarbejdet. Du har mulighed for at få uddybet eventuelle spørgsmål til behandlingsplanen.
Det er naturligt at have mange spørgsmål til behandlingen, for det er en stor beslutning at tage. Det er din egen beslutning, om du vil tage imod behandlingstilbuddet, og du kan altid blive henvist igen på et senere tidspunkt, hvis du ønsker at vente.
Hvis du takker ja til behandlingen, får du muligvis en tid til tandudtrækning.
Konferencen varer cirka 30 minutter.
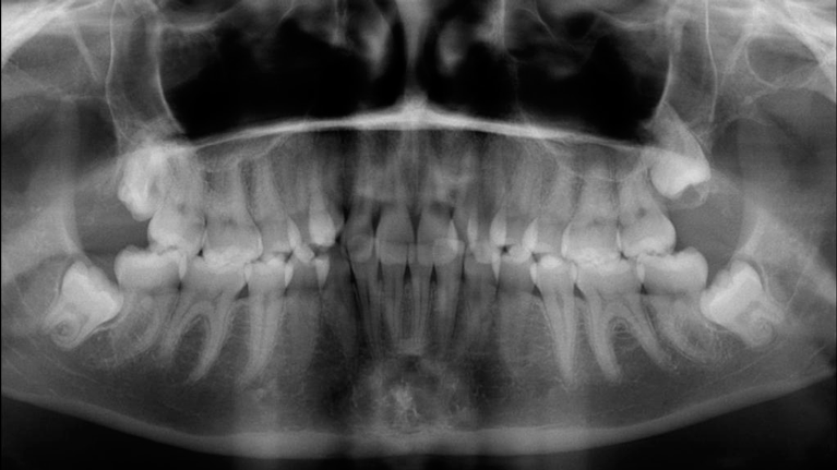
Du skal være færdigudvokset før operationen. Dette undersøger vi vha. et røntgenbillede af din hånd. Du får taget røntgenbilledet enten hos bøjletandlægen eller på Kæbekirurgisk Ambulatorium.