Indsættelse af kunstigt knæled
Du er blevet tilbudt operation med indsættelse af ”kunstigt knæled” – også kaldet ”knæledsprotese”.
Den hyppigste årsag til at indsætte en protese i knæet er gener forårsaget af slidgigt. Knæet kan være blevet skævt, ledbånd kan være løse og bevægeligheden kan være nedsat.
Formålet med operationen er at mindske smerter og dermed forbedre din livskvalitet.
Ved operation med knæledsprotese vil 85 % opnå et godt resultat uden smerter og med god bevægelighed og god stabilitet. 15 % vil fortsat have smerter i nogen grad og begrænset bevægelse i leddet.
Sandsynligheden for, at knæledsprotesen holder i 10 år, er cirka 95 %, og at den holder i 20 år, er cirka 90 %. Operationsmetoden har været anvendt i de sidste 40 år.
-
Du er blevet tilbudt operation med indsættelse af ”kunstigt knæled” – også kaldet ”knæledsprotese”.
Den hyppigste årsag til at indsætte en protese i knæet er gener forårsaget af slidgigt. Knæet kan være blevet skævt, ledbånd kan være løse og bevægeligheden kan være nedsat.
Formålet med operationen er at mindske smerter og dermed forbedre din livskvalitet.
Ved operation med knæledsprotese vil 85 % opnå et godt resultat uden smerter og med god bevægelighed og god stabilitet. 15 % vil fortsat have smerter i nogen grad og begrænset bevægelse i leddet.
Sandsynligheden for, at knæledsprotesen holder i 10 år, er cirka 95 %, og at den holder i 20 år, er cirka 90 %. Operationsmetoden har været anvendt i de sidste 40 år.
-
Før operationen møder du lægen, som skal operere dig. Lægen markerer på dit ben med en tuschpen, hvor du skal opereres. Herefter bliver du – gående – fulgt over på operationsafdelingen medmindre andet aftales.
Under operationen skal du ligge på ryggen. Du får lagt et drop i håndryggen og bliver tilkoblet overvågningsudstyr og herefter bliver du rygbedøvet.
En sygeplejerske vasker dit knæ og det meste af benet med farvet sprit. Vær opmærksom på, at dette vil kunne smitte af på lyst tøj.
Vi sætter et klæde op, så operationsfeltet holdes sterilt, og så du ikke kan se selve operationen.
Lægen åbner knæleddet på forsiden af knæet, og fjerner meniskerne og det forreste korsbånd. Hvis du har forkert stilling af knæet, løsner lægen et af sideledbåndene, så knæet kan rettes op. Den nedslidte brusk og lidt af knoglen fjernes. Herefter sætter kirurgen først protesedelen på skinnebenet, derefter på lårbenet og, hvis det er nødvendigt, en protesedel på knæskallen. Hvis kun en afgrænset del af knæet er slidt kan det i nogle tilfælde lade sig gøre at indsætte en delprotese. Hvis det er aktuelt for dig, vil lægen have drøftet dette med dig ved forundersøgelsen.
Såret lukkes med metal-clips (agraffer) og dækkes med et plaster.
Bedøvelse under operationen
Under operationen er du rygbedøvet. Det betyder, at du er vågen, men ikke har smerter. Du vil kunne høre lægen bruge de forskellige instrumenter, og du vil kunne fornemme ryk i kroppen, når protesedelene bankes fast. Inden anlæggelsen af rygbedøvelsen får du noget beroligende medicin.
Du får antibiotika i forbindelse med operationen for at mindske risikoen for betændelse. Operationen varer cirka 1-1½ time. Mens operationen står på, kan du lytte til musik, eller du kan få medicin, så du døser.
Når operationen er færdig, kører en portør dig til opvågningsafsnittet – også selvom du er vågen. Her bliver du tilbudt noget at drikke. Vi overvåger dig, indtil du er klar til at blive kørt på sengestuen.
-
Hold dig fysisk aktiv
Inden operationen er det vigtigt, at du holder dig fysisk aktiv. Et godt fysisk udgangspunkt giver dig et nemmere og bedre forløb. Eksempler på gode fysiske øvelser er kondicykel, svømning og gåture.
Til informationsmødet får du gennemgået og udleveret et træningsprogram, det er en god ide, at du øver dig i at lave øvelserne inden din indlæggelse.
Gør klar til du kommer hjem
I dagene efter, at du kommer hjem fra hospitalet, kan de daglige gøremål tage længere tid og være besværlige. Derfor er det en god idé, at du på forhånd arrangerer hjælp til hjemtransport og laver aftale med nogen, som kan hjælpe dig med indkøb og rengøring. Overvej, om der er nogle af disse ting, du skal forberede:
- Afbestille hjemmehjælp i den dag, du er på hospitalet
- Lave aftaler om praktisk hjælp fra familie, venner eller naboer
- Have nem mad klar (små retter i fryseren)
- Indrette dit hjem, så det er klar, til du kommer hjem.
Drik rigeligt med væske
Aftenen inden din operation anbefaler vi, at du drikker rigeligt med sukkerholdig væske, eksempelvis saftevand. Har du sukkersyge, skal det selvfølgelig ikke være sukkerholdige væsker. Det anbefales også, at du spiser et sent måltid, inden du går i seng.
Mød fastende
Ved behandlingen bliver du lokalbedøvet. Alligevel vil vi bede dig møde fastende, så vi har mulighed for at lægge dig i fuld bedøvelse, hvis det bliver nødvendigt. Følg disse regler, medmindre du har fået andet at vide af lægen:
- Stop med at spise 6 timer før. Det gælder al mad.
- Stop med at drikke 2 timer før. Du må gerne drikke klare væsker indtil 2 timer før. Klare væsker kan være: vand, saftevand, te, kaffe, juice uden frugtkød. Væsken må gerne indeholde sukker. Din krop kan bruge energien, så du har det godt.
- Put intet i munden fra 2 timer før. Lad være at tygge tyggegummi, spise pastiller eller andet, der stimulerer dannelsen af spyt.
Er du i tvivl, så kontakt os. Det er vigtigt for din sikkerhed under bedøvelsen, at du følger reglerne. Du kan se en video om fastereglerne her:
https://video.rn.dk/sadan-faster-du-for-en-operation
Fjern behåring 1 uge før operationen
Hvis du har kraftig behåring på knæets forside, vil vi bede dig fjerne denne 1 uge før operationen – men ikke senere. Du må ikke barbere dine ben de sidste 7 dage før operationen, da små rifter kan give øget risiko for infektion.
Vask dig grundigt og fjern makeup, neglelak og løse genstande
- Tag bad om aftenen eller morgenen, og vask dig grundigt med vand og sæbe.
- Undlad at smøre dig med creme, da det gør desinfektion vanskeligere.
- Tag rent tøj på. Vi anbefaler blødt og behageligt tøj.
- Fjern makeup, kunstige negle, neglelak og gel-lak. Under operationen skal vi kunne iagttage din huds naturlige farver.
- Fjern løse dele, fx smykker, piercinger, ur og ringe. Smykker er samlingssted for bakterier, der øger risikoen for infektion. Desuden kan metal på kroppen blive så varmt ved nogle typer indgreb, at der er risiko for brandsår.
- Daglige hjælpemidler, fx briller, høreapparat og tandprotese, tager vi af dig lige inden operationen.
- Kontaktlinser må du gerne beholde i. Fortæl dog sygeplejersken, hvis du bruger linser.
Kontakt os ved feber, sår eller betændelsestilstande
Det er vigtigt, at du kontakter os, hvis du op til operationsdagen får feber, sår – selv små sår som bumser, skrammer eller myggestik – specielt på det ben, som skal opereres; eller betændelsestilstande, såsom tandbyld, forkølelse med mere. Ligeledes skal du kontakte os, hvis du har fået antibiotika de sidste 14 dage før operationsdatoen.
-
Når vi har overvåget dig på opvågningsstuen, vil du blive kørt til røntgenafdelingen, hvor du får taget et billede af dit knæ. Herefter bliver du kørt til din stue på sengeafdelingen.
Plejepersonalet tilser din forbinding, sikrer sig, at du ikke har stærke smerter, tilbyder dig mad og drikke, samt ikke mindst proteindrikke, som du bør tage imod. Protein er vigtigt for kroppen, når den skal genopbygge muskler, væv, blod og styrke immunforsvaret.
Ophold på sengeafsnittet
Mens du opholder dig hos os, er du indlogeret på en 2- eller 4-sengsstue, hvor du må forvente, at der både kan være mænd og kvinder. Alle på stuen vil som regel have fået foretaget den samme type operation som dig.
Hurtigt ud af sengen
Allerede samme eftermiddag vil plejepersonalet vejlede dig i at komme op at gå med et gangredskab. Du må støtte fuldt ud på det opererede ben.
Træn med fysioterapeuten
Du skal i gang med at træne, så du hurtigt lærer at gå på det opererede ben. Træningen består af øvelser, som stimulerer blodomløbet, bedrer bevægeligheden i leddet og øger muskelkraften.
Der er træning med fysioterapeuten efter behov. Træning med fysioterapeuten kan foregå i hold eller individuelt.
Målet er, at du kan færdes med albuestokke – eller det gangredskab, du normalt bruger – samt at du selv kan komme ind og ud af sengen og klare bad og toiletbesøg. Hvis dette har voldt dig problemer før indlæggelsen, tager vi naturligvis hensyn til det.
Træn på egen hånd
Du er selv ansvarlig for at gennemføre dit træningsprogram flere gange om dagen.
Skift mellem aktivitet og hvile
Du må forvente, at det opererede ben hæver – både lige efter operationen, men også i månederne efter. For at mindske hævelsen er det er vigtigt, at du veksler mellem aktivitet og hvile. Når du sidder i en lænestol, så brug gerne en skammel, så væsken kan løbe fra benet. Når du ligger i sengen, så hæv fodenden op over hjertehøjde. Vi anbefaler også, at du lægger en ispose på knæet flere gange dagligt – dog max 20 minutter ad gangen.
Vurdér dine smerter flere gange dagligt
I den første tid efter operationen vil du kunne opleve smerter omkring knæet og besvær med at komme i gang. Vi bruger en smerteskala til at vurdere dine smerter, og derfor vil du jævnligt blive spurgt, hvordan dine smerter er.
Du vurderer selv, hvor ondt du har på en skala fra 0 til 10, hvor 0 er ingen smerte og 10 er den værst tænkelige smerte. Du kan også sige, om du har: ingen – lette – moderate – svære eller uudholdelige smerter.
Du får blodfortyndende medicin
Under indlæggelsen får du dagligt blodfortyndende medicin for at forebygge blodpropper i benet. Medicinen får du 1 gang dagligt som tablet.
Hold maven i orden
Det er normalt, at maven kan gå i stå efter en operation. Det sker blandt andet, fordi smertestillende piller virker stoppende på tarmens funktion. Efter operationen giver vi dig afføringsmiddel, så tarmen kan komme i gang igen. Det er ofte nødvendigt at fortsætte med afføringsmidlet, så længe du tager morfinlignende medicin. Det er ligeledes vigtigt at have regelmæssig afføring op til operationen.
Hvis du får kvalme
Nogle patienter får kvalme og opkastning i dagene efter operationen. Det kan skyldes bedøvelsen, de smertestillende piller og/eller forstoppelse. Er du plaget af kvalme, tilbyder vi kvalmestillende medicin, men opfordrer dig til at spise trods ubehag, så du får gang i maven.
-
Vi begynder at planlægge din udskrivelse allerede på operationsdagen. Du vil normalt blive udskrevet samme dag eller dagen efter. Du kan komme hjem, så snart fysioterapeuten har instrueret dig i træningsøvelser, du har fået tilpasset din smertebehandling, og du i rimeligt omfang kan klare dig selv.
Kontakt din egen læge
Når du kommer hjem, skal du bestille tid ved din egen læge til at få fjernet metalclipsene i dit operationssår. De skal fjernes 14 dage efter operationen. Du får en tang og plaster med fra os.
Hvis der er mistanke om infektion i knæet, eller der fortsat er sivning 5 dage efter operationen, vil vi gerne se dig til en kontrol i vores ambulatorium.
Sårpleje
Du skal skifte plasteret, hvis det har løsnet sig, eller hvis der siver væske igennem. Dit operationsplaster må sidde i op til 14 dage. Så snart såret er tørt, er det ikke nødvendigt med plaster længere. Husk at vaske dine hænder, inden du skifter plaster for at undgå snavs og lignende. Hvis du ikke selv kan skifte plaster, kan du få hjælp fra pårørende eller hjemmeplejen.
Undgå svømmehal, havbad og solbadning
Vent med svømmehal og havbad til 4 uger efter operationen. Dit operationssår er typisk helet efter 4 uger, i nogle tilfælde kan der gå længere tid. Undgå desuden solbadning af arret.
Vær aktiv, så meget du kan
Du må forvente at være træt, når du kommer hjem. De daglige gøremål kan også være mere besværlige og tage længere tid. Det er helt normalt. Tænk på gøremålene som en del af din træning, og gør så meget du kan selv. Der kan være dage, hvor du oplever tilbagegang, men din tilstand vil bedres over tid.
Undersøg eventuelt, om du kan få hjemmehjælp
Der kan i nogle tilfælde være mulighed for at få hjemmehjælp til de daglige gøremål. Det hjælper vi dig gerne med at undersøge. Dog er der i langt de fleste tilfælde tale om midlertidig hjælp og dermed også egenbetaling. Har du haft hjemmehjælp eller hjemmesygeplejerske før indlæggelsen, kontakter vi dem og fortæller, hvornår du er hjemme igen.
Tag smertestillende medicin
Vi gennemgår din medicinliste med dig, inden du bliver udskrevet, men i langt de fleste tilfælde skal du tage paracetamol 1g x 4 dagligt, indtil du er smertefri.
Fornyelse af recepter skal ske via egen læge.
Undlad at føre bil i tiden efter
Du må køre bil, når du kan køre på forsvarlig vis og overholde færdselsloven. Dog skal du være opmærksom på følgende:
- Du må ikke køre bil, når du tager stærk smertestillende medicin med rød advarselstrekant.
- Du skal kunne foretage en nødopbremsning.
- Du skal være opmærksom på, hvilke regler der gør sig gældende hos dit forsikringsselskab, inden du sætter dig bag rattet.
Forvent, at benet bliver misfarvet
Du må forvente en kraftig misfarvning af benet helt ned til foden. Det er ganske ufarligt, men blot et tegn på, at en eventuel blodsamling omkring knæet er ved at fordele sig og blive optaget i kroppen.
Hav tålmodighed med din genoptræning
Det tager 6 måneder at optræne et nyt knæ. Når din knæledsprotese kommer til at fungere godt, vil du kunne føre en almindelig tilværelse. Med en ihærdig træningsindsats er der også håb om, at du kan genoptage fysiske aktiviteter, som dit knæ måske har tvunget dig til at opgive.
I de første 4-6 måneder kan du dog have igangsætningsbesvær, hævelse – særligt om aftenen, og forværring af smerter, når du laver mere, end du plejer. Brug dit ganghjælpemiddel, så længe, du har behov for det. Det vil sige, indtil du kan gå uden at halte og få tiltagende smerter.
Du kan opleve bedring af knæets funktion i op til 12 måneder efter operationen.
Ved længere rejser
I nogen tid efter operationen er der fortsat risiko for blodpropper i benene. Det er især vigtigt at være på vagt, hvis du påtænker rejser i bil eller fly, hvor du ikke kan bevæge dig ret meget. Vi gør desuden opmærksom på, at metallet i protesen kan aktivere alarmen i sikkerhedstjekket i lufthavne. Fortæl, at du er opereret i knæet.
-
Forvent nedsat følesans
Næsten alle, der får indsat en knæledsprotese, oplever nedsat følesans i et håndfladestort område på forsiden af knæet.
Kontakt os ved tegn på betændelse
Oplever du kort efter operationen vedvarende sivning fra såret, rødme omkring hele såret, feber og øgede smerter, kan det være tegn på alvorlig betændelse, som kræver behandling. Kontakt os for vejledning.
Betændelse kan både opstå kort efter operationen, men i sjældnere tilfælde også på langt sigt.
Kontakt din læge ved tegn på blodprop
Hæver dit ben meget og vedvarende, har du smerter og rødme, kan det være tegn på en blodprop, som skal behandles med blodfortyndende medicin. Kontakt din egen læge, hvis du får symptomer på blodpropper
Du kan få smerter på langt sigt
Knæprotesen kan løsne sig eller blive slidt med tiden. Det kan vise sig ved, at der opstår smerter i knæet. Der er en sammenhæng mellem, hvor meget du belaster protesen og risikoen for, at den løsner sig. Risikoen er dog minimal.
-
Efter operationen sender vi dig et spørgeskema enten per mail eller brev. Spørgsmålene handler om dit nye knæs funktion og dine eventuelle smerter. Med dette spørgeskema følger vi resultaterne af din operation på længere sigt og har mulighed for at tilbyde dig kontrol, hvis dine svar ikke falder inden for det, som vi forventer.
-
Hvis du får problemer med knæet inden for de første 6 måneder efter operationen, er du velkommen til at ringe til os og få vejledning.
Ortopædkirurgisk Afsnit O4
Tlf. 97 65 30 50
Vi træffes bedst: Mandag – fredag 8.00 – 14.30
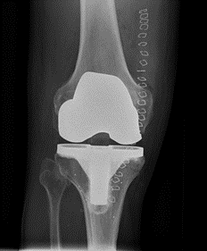
Fakta om en knæledsprotese

En knæledsprotese består af 3 dele:
- Protesedelen på lårbenet består af rustfrit stål.
- Protesedelen på skinnebenet er af rustfrit stål eller titanium og består af en metalplade med køl, som går ned i marvhulen på skinnebenet. Oven på metalpladen sidder hård plastik, som danner led med protesedelen på lårbenet.
- Protesedelen på knæskallen er af plastik.
Protesedelene kan gøres fast til knoglerne med knoglecement, der binder som lim eller uden knoglecement, hvor protesen har en overflade som knoglen vokser ind i.
Knoglecementen, som vi anvender, er af et fabrikat, som har været anvendt i mere end 30 år uden problemer.